ESTÉTICA DENTAL EN MANZANARES

image
image

Por medio de diversos tratamientos, la odontología estética se encarga de mejorar la apariencia de la sonrisa, haciendo cambios, pequeñas modificaciones o perfeccionando detalles de los dientes y las encías.


El objetivo principal de los tratamientos dentales estéticos es obtener una sonrisa más luminosa, proporcional y funcional.


En Innovación Dental disponemos de equipos de última tecnología que nos permiten llevar a cabo todo tipo de procedimientos en pro de modificar, mejorar o perfeccionar detalles como la forma, el tamaño y el color de los dientes.

TRATAMIENTOS DE ODONTOLOGÍA ESTÉTICA

image

Beneficios de la Estética Dental

Mejora la apariencia de la sonrisa

Brinda comodidad para sonreír y hablar

Proporciona una dentadura funcional y estética

Contribuye a la mejora de la autoestima del paciente

image
image

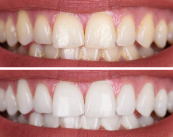
Blanqueamiento

Mediante el uso de unos agentes blanqueadores a base de peróxido de hidrógeno y peróxido de carbamida se modifica el color de los dientes, logrando que luzcan más blancos y brillantes.

Estos productos logran atravesar el esmalte dental y llegar hasta la dentina para reducir el tono del color y hacer que este se perciba más claro.

Sus resultados son duraderos, pero no permanentes. Los cuidados que tenga el paciente posterior al tratamiento, serán la clave del éxito.

Es necesaria una revisión previa para asegurarse de que la dentadura está sana, libre de alguna patología, como caries o enfermedad periodontal. En caso de presentar alguna, debe tratarse primero.

Carillas Dentales

Son finas capas de materiales como el composite o la porcelana que se adhieren a la superficie frontal de los dientes para corregir pequeñas imperfecciones o modificar características propias de tamaño, forma y color. Esto con el fin de que la dentadura luzca más alineada y proporcional con los rasgos faciales.

Las carillas en composite se hacen de forma directa sobre el diente, añadiendo pequeñas capas de material hasta obtener la forma deseada. Se realizan en una sola sesión y no requieren tallado.

Por su parte, las carillas en porcelana, son unas láminas completas que cubren la totalidad del diente y se hacen de forma indirecta en el laboratorio dental. Requieren varias sesiones para su elaboración y de un pequeño biselado para adaptarse a la superficie dental.

Cualquier tipo de carillas requiere de un mantenimiento periódico, con el fin de prolongar su duración, la cual depende del material utilizado.

image
image

Prótesis dentales

Las dentaduras postizas son dientes artificiales que se elaboran a la medida de cada paciente con el fin de sustituir las piezas ausentes. De esta forma, se restauran la función y la estética.

Su diseño es personalizado, pues va a depender del material en el que se fabriquen, de los dientes presentes en boca y de los que se vayan a reemplazar.

Existen prótesis fijas y removibles, que a su vez pueden ser parciales o totales. La elección del tipo de prótesis la define el dentista según las necesidades de cada paciente.